支气管异物
的有关信息介绍如下:
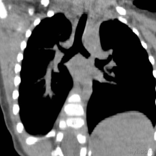
异物进入、停留或嵌顿于气管或支气管内的状态。多发生于5岁以下的儿童。常因儿童牙齿发育不完善、进食时哭闹或嬉笑,或因全身麻醉、昏迷病人将呕吐物或假牙等吸入所致。因右侧支气管管径较粗且陡直,故而异物常落入该侧支气管内;若两侧支气管受堵则可引起窒息死亡。
想要了解更多“支气管异物”的信息,请点击:支气管异物百科

异物进入、停留或嵌顿于气管或支气管内的状态。多发生于5岁以下的儿童。常因儿童牙齿发育不完善、进食时哭闹或嬉笑,或因全身麻醉、昏迷病人将呕吐物或假牙等吸入所致。因右侧支气管管径较粗且陡直,故而异物常落入该侧支气管内;若两侧支气管受堵则可引起窒息死亡。
想要了解更多“支气管异物”的信息,请点击:支气管异物百科