疟原虫
的有关信息介绍如下:
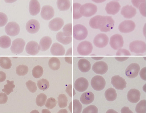
疟原虫(Plasmodium),是人疟疾的病原体。寄生于人体的疟原虫有四种,即间日疟原虫(P.vivax Grassi and Feletti,1890)、三日疟原虫(P.malariae Laveran,1881)、恶性疟原虫(P.falciparum Welch,1897)和卵形疟原虫(P.ovale Graig,1900) ,属于色藻界-顶复门-无类椎体纲-血孢子虫目-疟原虫科。
这些疟原虫有蚊虫和人两个宿主,包括蚊体内的有性繁殖和人体内的无性增殖,携带疟原虫的按蚊通过叮咬人而传播,引起疟疾寒热往来发作,俗称“打摆子”。而其他种类的疟原虫会感染它种动物,包括其他灵长目动物、啮齿目动物、蜥形纲动物 。
想要了解更多“疟原虫”的信息,请点击:疟原虫百科



