弓虫
的有关信息介绍如下:
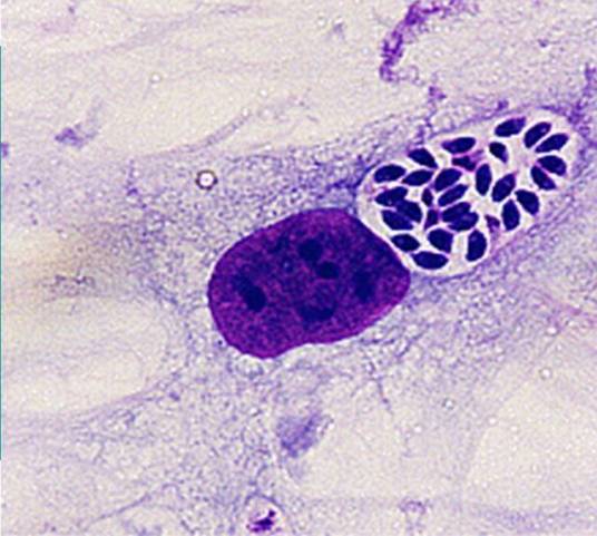
弓虫病 (Toxoplasmosis) 是由刚地弓形虫 (Toxoplasma gondii) 引起的一种自然疫源性人畜共患寄生虫病, 与人类优生优育和农牧业发展, 艾滋病、恶性肿瘤和器官移植病人等有密切关系。弓形虫又称弓形体, 属原生动物门 (Protozoa) 、孢子虫纲(Class sporozoasida) , 是一种广泛寄生于人和多种动物的除红细胞外的所有有核细胞内的机会性致病原虫。
想要了解更多“弓虫”的信息,请点击:弓虫百科

弓虫病 (Toxoplasmosis) 是由刚地弓形虫 (Toxoplasma gondii) 引起的一种自然疫源性人畜共患寄生虫病, 与人类优生优育和农牧业发展, 艾滋病、恶性肿瘤和器官移植病人等有密切关系。弓形虫又称弓形体, 属原生动物门 (Protozoa) 、孢子虫纲(Class sporozoasida) , 是一种广泛寄生于人和多种动物的除红细胞外的所有有核细胞内的机会性致病原虫。
想要了解更多“弓虫”的信息,请点击:弓虫百科