髓母细胞瘤细胞
的有关信息介绍如下:
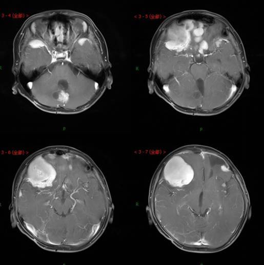
髓母细胞瘤由Bailey与Cushing于1925年首先报道,是好发于儿童的颅内恶性肿瘤,是中枢神经系统恶性程度最高的神经上皮性肿瘤之一有人认为其发生是由于原始髓样上皮未继续分化的结果。这种起源于胚胎残余细胞的肿瘤可发生在脑组织的任何部位,但绝大多数生长在第四脑室顶之上的小脑蚓部。
想要了解更多“髓母细胞瘤细胞”的信息,请点击:髓母细胞瘤细胞百科

髓母细胞瘤由Bailey与Cushing于1925年首先报道,是好发于儿童的颅内恶性肿瘤,是中枢神经系统恶性程度最高的神经上皮性肿瘤之一有人认为其发生是由于原始髓样上皮未继续分化的结果。这种起源于胚胎残余细胞的肿瘤可发生在脑组织的任何部位,但绝大多数生长在第四脑室顶之上的小脑蚓部。
想要了解更多“髓母细胞瘤细胞”的信息,请点击:髓母细胞瘤细胞百科